
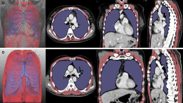
서울대병원 연구팀이 루게릭병(ALS) 환자의 예후를 보다 정확히 예측할 수 있는 새로운 검사 지표를 개발해 학계의 주목을 받고 있다. 이번 연구는 신경과 최석진 교수, 영상의학과 최규성 교수 등이 주도했으며, 딥러닝 소프트웨어를 이용해 흉부 CT 영상에서 폐와 호흡근의 용적을 정량적으로 분석한 결과를 바탕으로 이뤄졌다.
루게릭병은 뇌와 척수의 운동신경세포가 점진적으로 소실되면서 근육이 약해지고 위축되는 치명적인 신경계 질환이다. 특히 호흡근 마비로 인한 호흡부전이 주요 사망 원인으로 꼽히며, 발병 후 평균 3~4년 내에 생명을 위협하는 상태에 이르게 된다. 따라서 정기적인 호흡 기능 평가가 중요한데, 기존의 폐활량 검사는 구강과 안면 근육이 약해진 환자에게서 정확도가 떨어지는 한계가 있었다.
이에 연구팀은 서울대병원에서 진료받은 루게릭병 환자 261명의 흉부 CT 영상을 분석하고, 폐 용적 지수(LVI)와 호흡근 용적 지수(RMI)를 산출해 이 지수가 환자의 병기 및 생존 기간과 어떤 상관관계가 있는지를 평가했다. 연구 결과, LVI와 RMI는 병기가 진행될수록 유의하게 감소했으며, 두 지수가 낮은 환자는 높은 환자에 비해 기관절개술이나 사망에 이르는 시점이 더 빨랐다. 특히 구음장애가 동반된 환자에서도 LVI와 RMI가 독립적인 예후 지표로 작용하는 것이 확인됐다.
논문의 교신저자인 최규성 교수는 “이번 연구는 대규모 환자 데이터를 기반으로 딥러닝 기술을 활용해 루게릭병의 예후를 예측할 수 있는 정량적 영상 지표의 가능성을 최초로 입증했다”고 밝혔다. 공동저자인 최석진 교수는 “영상 기반 지표는 특히 기존 검사가 어려운 환자에서 임상 결정을 보조하는 데 큰 역할을 할 것으로 기대된다”고 전했다.
이번 연구 성과는 국제 학술지 Radiology 최신호에 게재됐으며, 루게릭병 환자의 진단과 치료 방침 수립에 새로운 전환점을 마련할 것으로 평가되고 있다.


-
서울의료원, 서울시 지역보건의료인력 역량 강화 교육 성료
서울특별시 서울의료원은 2025년 6월 5일과 20일 양일간 서울대병원, 보라매병원, 서울적십자병원, 서남병원과 함께 ‘서울시 지역보건의료인력 역량강화 교육’을 개최했다. 만성질환과 호흡기 질환 환자 관리에 대한 실질적 강의로 200여 명의 보건소, 보건지소 종사자들이 참여하며 지역 환자 관리 능력 강화를 도모했다. -
경기도의료원 수원병원, 장애인 대상 실습형 구강건강 교육으로 큰 호응
경기도의료원 수원병원은 2025년 6월 20일 호매실장애인보호작업장에서 장애인과 시설 종사자를 대상으로 실습 중심의 구강건강관리 교육을 실시했다. 이론과 실습을 병행하며 올바른 칫솔질, 구강 마사지 등 실생활에 적용할 수 있는 내용을 교육해 큰 호응을 얻었으며, 장애인의 건강 자립을 돕는 계기가 되었다. -
"유방암, 걱정보다는 이해가 먼저입니다"
유방암은 가족력 없이 건강한 생활을 했던 여성에게도 발생할 수 있기 때문에 누구나 그 위험에 노출될 수 있다. 하지만 유방암은 조기에 발견하면 생존율이 95% 이상이므로 두려워할 필요는 없다. -
회복 탄력성, 건강한 삶을 위해 길러야 할 능력
정신건강과 뗄래야 뗄 수 없는 것 중 하나가 바로 ‘회복 탄력성(Resilience)’이다. 단순히 어려움을 참고 견디는 것을 넘어, 부정적인 상황을 빠르게 회복하고 적응하는 능력을 말한다. -
망막 손상과 합병증, 몇 개월 지난 뒤에 찾아올 수도?
눈에 가해지는 외상의 원인은 다양하다. 이런 외상들은 때때로 별다른 증상이 없이 넘어가는 경우도 있지만, 이런 상황에서도 안심해서는 안 된다. 몇 개월 지난 뒤에도 문제가 생길 수 있기 때문이다. -
강동경희대병원 진단검사의학과, 헌혈유공기관으로 보건복지부 장관 표창 수상
강동경희대학교병원 진단검사의학과가 ‘세계 헌혈자의 날’을 맞아 보건복지부로부터 헌혈유공기관 표창을 수상했다. 수혈 안전 강화를 위한 체계적인 관리와 혈액 제제의 적정 사용 노력이 인정받은 결과로, 수혈 적정성 평가에서도 연속 1등급을 달성하는 성과를 이뤘다. -
동국대경주병원, 절개 없는 전립선비대증 최신 수술법 ‘리줌’ 본격 도입
동국대학교경주병원이 전립선비대증 환자를 위한 최신 수술법 ‘리줌(Rezūm)’ 시스템을 도입하고 운영을 시작했다. 리줌 수술은 절개나 체내 삽입물 없이 고온 수증기를 이용해 비대해진 전립선 조직을 제거하는 방식으로, 국소마취로도 가능해 고령자나 전신마취가 어려운 환자들에게 새로운 대안으로 주목받고 있다. -
이대목동병원, 개방형실험실 운영사업단 공식 출범… 지역 바이오 클러스터 구축 본격화
이대목동병원이 개방형실험실 운영사업단을 공식 출범시키고, 지역 바이오헬스 산업 발전과 보건의료 혁신 생태계 조성을 위한 본격 행보에 나섰다. 병원 인프라를 기반으로 한 창업 지원과 산·학·연·병 협력 사업 강화로 바이오 클러스터 구축에 기여할 전망이다. -
세란병원, 반복되는 눈물 고임과 충혈 ‘결막이완증’ 주의 당부
세란병원은 눈 성형 후 반복되는 결막 부종, 눈물 고임, 충혈 등의 증상을 호소하는 환자들에게 결막이완증 가능성을 고려한 조기 진단의 필요성을 강조했다. 결막이완증은 주로 중장년층에서 흔하지만, 젊은층에서도 눈을 자주 비비거나 장기간 렌즈 착용, 성형수술 후 합병증으로 나타날 수 있으며, 절개 없는 고주파 시술을 통한 치료법이 주목받고 있다. -
서울대병원, 국내 최초 휴고 로봇 활용 고난이도 난소암 수술 성공
서울대병원이 국내 최초로 첨단 휴고 로봇 수술 시스템을 활용한 고난이도 난소암 수술을 성공적으로 시행했다. 이번 수술은 자궁절제수술, 난소나팔관절제술, 대망절제술, 골반림프절절제술 등을 포함했으며, 환자는 수술 후 3일 만에 건강하게 퇴원하며 빠른 회복을 보였다. 서울대병원은 이번 성과를 계기로 로봇 수술의 적용을 다양한 부인암 치료로 확대할 계획이다. -
무더위 속 요실금 환자 고통 두 배… 적극적 치료와 예방 필요
여름철 요실금은 냄새와 습기로 인한 고통이 배가되며, 위생 관리도 어려워져 적극적인 치료와 예방이 무엇보다 중요하다. 특히 50대 이상 여성에서 환자 비율이 높아지는 만큼, 생활습관 관리와 함께 정확한 진단과 치료가 필요하다는 전문가의 조언이 나왔다. -
여름 휴가철, 브이라인 만들기 딱 좋은 시기! 간편한 시술부터 정밀한 수술까지… 나에게 맞는 얼굴 윤곽 솔루션은?
름철을 맞아 얼굴형에 대한 관심이 높아지면서 브이라인 시술 수요가 늘고 있다. 강동경희대학교병원 홍성옥 교수는 회복 기간과 효과의 차이를 고려해 연조직 시술과 경조직 수술 중 자신에게 맞는 방법을 선택하는 것이 중요하다고 조언했다. 정확한 진단과 사후 관리가 브이라인 성공의 핵심으로 꼽힌다.본문:여름방학과 휴가철은 외모 개선에 도전하기에 적절한 시기다. 특히 사진 촬영이나 야외 활동이 많아지는 계절인 만큼, 작고 갸름한 얼굴형을 위한 ‘브이라인’에 대한 관심이 높아지고 있다. 브이라인을 만드는 방법도 다양해졌으며, 간편한 시술부터
