
서울대병원 연구팀이 ‘뇌 해면상 혈관종(Cerebral Cavernous Malformation, 이하 CCM)’ 환자들에게 ‘감마나이프 방사선’ 수술이 장기적으로 긍정적 치료 효과를 보였다는 연구 결과를 발표했다. 특히 수술 후 연간 출혈률이 크게 감소한 것으로 나타나, 향후 CCM 치료에서 감마나이프 방사선 수술의 중요성이 더욱 커질 것으로 기대된다.
뇌 해면상 혈관종은 무엇인가?
CCM은 뇌에서 나타나는 혈관 기형의 일종으로, ‘경색성 혈관 기형’이라고도 한다. 뇌에서 나타나는 혈관 기형 중 ‘모세혈관 기형’에 이어 두 번째로 흔한 유형이다.
CCM에서는 비정상적인 혈관 덩어리가 형성돼, 혈관이 확장되고 약해진 상태가 된다. 이로 인해 뇌출혈, 신경학적 결손, 두통, 경련 등의 증상이 나타날 수 있다. 무증상일 경우 수술 등의 적극적 치료 없이 증상을 관리하는 수준의 보존적 치료가 권장된다. 하지만 증상이 나타날 경우 미세 수술 또는 방사선 수술을 고려한다.
서울대병원 측에 따르면 건강검진을 통해 무증상 CCM인 환자들이 증가하고 있지만, 자연적인 경과가 아직 완전히 밝혀지지 않았기 때문에 가장 적합한 치료법이 무엇인지에 대한 논란이 있었다.
여러 개의 방사선을 집중시키는 수술법
감마나이프 방사선 수술은 비침습적 치료법의 하나로, 고강도 방사선을 목표 부위에 집중시켜 병변을 제거하는 수술법이다. 주로 뇌종양, 뇌출혈, 혈관 기형, 신경통 등의 치료에 사용된다. 피부를 절개하지 않기 때문에 회복 시간이 상대적으로 짧고, 별도의 입원 기간이 필요하지 않은 경우도 많다.
여러 개의 방사선을 집중시키는 원리이기 때문에, 방사선 노출에 따른 부작용 우려, 종양 재발 가능성 평가 등의 문제가 있었다. 수술 후 10년 이상 장기 치료 성적을 다룬 연구가 부족했던 것이 현실이었다.

감마나이프 방사선 수술, 장기적으로 예후 좋아
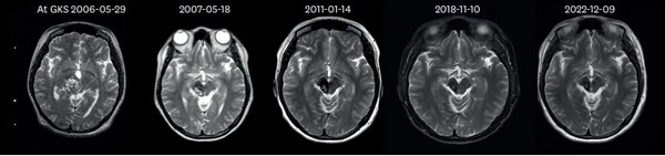
서울대병원 신경외과 백선하 교수 연구팀은 1998년부터 2012년까지 감마나이프 방사선 수술을 받은 CCM 환자 233명 중, 10년 이상 추적 관찰이 가능한 79명을 대상으로 ‘장기 예후’를 분석했다. 감마나이프 방사선 수술 전후의 ▲연간 출혈률(AHR) ▲신경학적 회복 정도 ▲방사선 관련 부작용(ARE) ▲병변 크기 변화를 분석했으며, 평균 추적 기간은 14년이었다.
79명 환자들의 예후를 분석한 결과, 수술 전에는 출혈률이 21.4%였다가 수술 후 2년차에 3.8%, 10년차에 1.4%로 감소했음을 확인했다. 이후에는 약간 증가해 2.3% 수준으로 유지됐다. 특히 CCM이 뇌간에 위치했던 환자의 경우, 수술 전 출혈률이 27.2%였으나 수술 후 2년차에 6%, 10년차에 3.5%로 감소했다.
신경학적 결손을 보였던 환자 중 74.3%는 마지막 관찰 시 증상이 회복되었으며, 병변의 81.3%는 크기가 줄어든 것을 확인했다. 6.4%의 환자가 방사선 부작용을 겪었으나 이로 인한 사망자는 없었다.
출혈 위험 높은 환자들에게 안전하고 효과적 치료 가능
출혈을 일으키는 주요 위험 요인으로는 이전에 출혈이 있었는지, 그리고 병변 위치가 어디인지가 꼽혔다. Cox 회귀 분석에 따르면, 이전 출혈 병력이 있었던 환자의 경우, 약 8.38배 높은 것으로 나타났다. (위험 비율(HR) 8.38, P=0.043) 마찬가지로 병변이 뇌간에 위치한 경우 출혈 위험이 3.1배 높은 것으로 나타났다. (위험비율(HR) 3.10, P=0.014)
연구팀은 이를 토대로, CCM의 초기 치료로 감마나이프 방사선 수술이 장기적으로 효과적이라는 결론을 내놓았다. 특히, 과거 출혈 이력이 있거나 병변이 뇌간에 위치한 경우, 출혈 위험을 줄이기 위해 보존적 치료 대신 감마나이프 방사선 수술 치료를 고려할 수 있다고 설명했다.
백선하 교수는 “이번 연구는 감마나이프 방사선 수술이 CCM 환자들에게 장기적으로 안전하고 효과적인 치료법임을 입증했다”라며, “특히 출혈 병력이 있거나 뇌간에 병변이 있는 환자들에게는 이 치료법이 적극 고려돼야 한다”라고 말했다.
이번 연구는 대한의학회가 발행하는 영문 학술지 「Journal of Korean Medical Science」 최근 호에 게재됐다.

-
스텐트 시술 후 비심장 수술 시, 아스피린 복용 중단 가능
심장에 혈액을 공급하는 관상동맥이 좁아지거나 막히는 경우, 스텐트(stent, 내관)를 삽입해 좁아진 혈관을 넓히는 관상동맥 중재시술이 많이 시행되고 있다. 이때 스텐트를 삽입한 부위에 혈전이 생기는 것을 예방하기 위해 항혈소판제인 아스피린을 복용한다.아스피린은 혈액을 묽게 하는 역할을 한다. 이 때문에 치아 발치, 용종 제거를 위한 내시경 치료, 암 수술 등 다른 질환으로 인해 수술을 받을 때 출혈이 멎지 않는 등의 부작용이 발생할 수 있다고 알려졌다. 이에 다른 수술 전후 아스피린 복용 여부에 대한 가이드라인이 필요한 실정이었다 -
호르몬 자궁내장치, 피임 효과 확실하고 부작용 거의 없어
한국보건의료연구원(이하 NECA)은 9월 26일(목) ‘세계 피임의 날’을 맞아, 가임기 여성의 피임법 가운데 하나인 ‘레보노르게스트렐 방출 자궁내장치 삽입술’(이하 LNG-IUD)에 대한 의료기술 재평가 결과를 발표했다. 합성 호르몬 방출로 피임 효과 얻는 기술LNG-IUD는 합성 호르몬인 ‘레보노르게스트렐(LevoNorGestrel)’을 방출하는 피임장치를 여성의 자궁 안에 삽입하여 피임을 유지하는 기술이다. 최초 시판된 제품명이 ‘미레나’였던 영향으로, 흔히 ‘미레나 시술’이라는 이름으로도 불린다.레보노르게스트렐은 여성 호르몬 -
치료 어려운 뇌 질환, ‘전자약’으로 맞춤치료 가능할 것
기초과학연구원(IBS) 뇌과학 이미징 연구단에서 대뇌 표면에 견고하게 밀착할 수 있는 ‘신축성 전자패치’를 개발했다. 이를 통해 뇌 질환을 앓고 있는 환자 개개인에 맞춘 ‘전자약(electronic drug)’ 기술을 최초 구현했다. 전자약이란, 질병 치료 및 생체활동 회복 기능을 가진 전자장치를 일컫는 말이다. 난치성 뇌 질환 치료의 원리약물 치료가 통하지 않는 난치성 뇌 질환 환자는 전 세계적으로 수천만 명에 달한다. 이들 질환은 파킨슨병과 같은 퇴행성 질환부터, 우울증과 같은 신경정신질환에서 약물 저항이 발생하는 경우, 그리고 -
인공지능 기반 위암 예측 SW, 식약처 인증 완료
가천대학교 길병원(이하 가천대길병원)은 (주)피씨티와 공동으로 개발한 ‘인공지능 위암 예측 소프트웨어’가 최근 식품의약품안전처(이하 식약처)로부터 의료기기 제조 허가를 획득했다고 10일(화) 밝혔다.가천대 길병원은 과학기술정보통신부, 정보통신산업진흥원이 주관하는 ‘AI 정밀의료솔루션’ 개발 사업의 일환으로 위암 예측 및 조기 발견을 위한 ‘닥터앤서 2.0’에 참여 중이다. 지난 2021년 대장암 예측 및 진단 소프트웨어인 닥터앤서 1.0을 개발한 이후, 이번에는 위암을 적용 대상으로 확대시켰다.닥터앤서 2.0 사업 중 위암에 관련된 -
국립줄기세포재생센터 공급 치료제, 첫 임상시험 승인
국내에서 제조된 줄기세포치료제가 처음으로 임상시험 및 임상연구 승인을 받았다.질병관리청(청장 지영미) 국립보건연구원(원장 박현영)은 “국립줄기세포재생센터 GMP 제조시설이 제조·공급한 줄기세포치료제가 처음으로 식품의약품안전처와 보건복지부의 임상시험 및 임상연구계획을 승인 받았다”고 밝혔다. 이번 GMP 제조시설에서 만들어진 줄기세포치료제의 연구개발 주체는 서울대학교 의과대학 정형외과학교실 조현철 교수 연구팀이다. 지난 7월 31일 임상시험계획 승인, 지난 8월 29일 임상연구계획이 승인됐다.GMP는 Good Manufacturing -
뇌졸중 후 시야장애, ‘디지털 치료제’ 처방 시작
서울아산병원이 뇌졸중으로 인한 시야장애를 겪고 있는 환자를 대상으로 최근 디지털 치료제 ‘비비드 브레인(vivid brain)’ 정식 처방을 시작했다.비비드 브레인은 서울아산병원 신경과 강동화 교수가 개발했다. 시각 자극에 대한 반복적 학습 훈련을 통해 ‘시각정보 인식능력’을 향상시키는 ‘시야장애 디지털 치료제’다. 가상현실(VR)에 기반한 모바일 애플리케이션으로 구현해, 언제 어디서든 학습 훈련을 할 수 있다.비비드 브레인은 지난 4월 식품의약품안전처(이하 식약처)로부터 품목 허가를 받았으며, 6월 보건복지부 고시를 통해 의료현장 -
2024 노벨 생리의학상, ‘마이크로RNA’의 발견과 중요성
미국 매사추세츠 주립대 의과대학(UMass Chan Medical School)의 빅터 앰브로스와 하버드 의과대학의 게리 러브컨이 2024 노벨 생리의학상을 수상했다. 세포 내에 존재하는 ‘마이크로RNA(miRNA)’를 발견한 공로다. 세포 속 단백질 컨트롤러, miRNA인간의 몸에는 조 단위의 세포가 존재한다. 각각의 세포는 조직과 장기 등을 이루며 각자 맡은 기능을 수행한다. 이 세포들은 DNA를 통해 ‘유전 정보’를 가지고 있으며, 이를 바탕으로 다양한 단백질을 만들어내며 각자의 기능을 수행하게 된다. 이 과정에서 중요한 것이 -
세계 최초 ‘원자 편집’ 성공, 신약 개발 혁신 가능할까
카이스트 연구팀이 약효를 극대화하기 위한 ‘단일 원자 편집 기술’을 세계 최초로 개발했다. 카이스트 화학과 박윤수 교수 연구팀은 ‘오각 고리 화합물’인 퓨란(C4H4O)의 산소 원자(O)를 질소 원자(N)로 편집·교정함으로써, 제약 분야에서 널리 활용되는 ‘피롤 골격(Pyrrole Structure)’으로 직접 전환하는 원천기술을 개발하는 데 성공했다고 8일(화) 밝혔다. 약효를 극대화하는 '원자 편집’ 기술우리가 사용하는 많은 의약품은 복잡한 화학 구조로 이루어진다. 하지만 이들의 ‘효능’은 단 하나의 핵심 원자에 의해 결정되기도 -
장 절제 필요한 크론병, 새로운 수술법으로 합병증 위험 절반
서울아산병원에서 크론병 수술에 새로운 방법을 도입했다. 이로 인해 합병증 발생률을 절반으로 낮추고 장 폐색 발병이 3분의 2 이상 낮아지는 등 긍정적인 성과를 보였다. 명확한 원인 없는 특발성 질환크론병은 장 전체에 염증이 계속 생기는 만성 희귀질환이다. 발병 원인이 명확히 밝혀지지는 않았지만, 면역 체계, 유전, 주위 환경, 장내 미생물 불균형 등이 복합적으로 작용해 나타나는 것으로 알려져 있다. 크론병이 발병하면 복통, 설사, 혈변 등이 나타날 수 있다. 장에 염증이 발생하기 때문에 발열이 생길 수 있고, 영양소 흡수 과정에 문
