서울대병원 신경외과 박철기 교수는 오는 7월 22일 ‘세계 뇌의 날’을 맞아 뇌종양에 대한 일반적인 오해를 바로잡고, 정확한 의학 정보를 전달하고자 뇌종양의 유형, 증상, 치료법에 대한 상세한 내용을 공개했다.
박 교수는 “뇌종양이 곧 불치병이라는 인식은 편견에 가깝다”며 “실제로 매년 발생하는 뇌종양 환자 10명 중 7~8명은 양성종양으로 예후가 좋은 경우가 많다”고 밝혔다.

뇌종양은 어떤 질환인가?
뇌종양은 뇌뿐 아니라 뇌막, 뇌신경, 두개골, 두피 등 다양한 부위에서 발생할 수 있다. 뇌에서 직접 발생한 ‘원발성 뇌종양’과, 폐·간 등 다른 장기에서 전이된 ‘전이성 뇌종양’으로 나뉘며, 원발성은 일반적으로 뇌와 척수 내에서만 재발하는 특징이 있다.
![[자료2] 뇌종양 의심 증상](https://cdn.healthlifeherald.com/news/photo/202507/2798_4815_1025.jpg)
주의해야 할 증상은?
가장 흔한 증상은 두통이다. 통증이 반복적·점진적·지속적이며, 새벽이나 아침에 특히 심하고 진통제에 반응하지 않는다면 뇌종양을 의심해야 한다. 이 외에도 구토, 마비, 언어장애, 경련, 시야 이상 등 다양한 신경학적 증상이 나타날 수 있다. 이러한 증상은 소화기 질환 등으로 오인되어 진단이 지연되는 경우가 많기 때문에 각별한 주의가 필요하다.
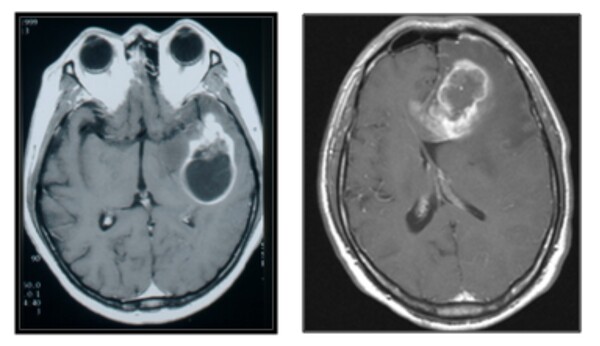
![[자료3] 양성뇌종양과 악성뇌종양](https://cdn.healthlifeherald.com/news/photo/202507/2798_4816_1038.jpg)
양성과 악성, 치료의 차이점은?
양성 뇌종양은 성장 속도가 매우 느리며 수술로 완치가 가능하다. 대표적으로 뇌수막종, 뇌하수체 선종, 신경초종 등이 있다. 반면 악성 뇌종양은 뇌 조직을 침범하며 빠르게 진행된다. 그중 교모세포종은 가장 치명적인 유형으로 평균 생존 기간이 치료를 받아도 약 1년 정도에 그친다. 따라서 조기 진단과 적극적인 치료가 중요하다.
![[자료4] 악성 뇌종양(교모세포종) MRI](https://cdn.healthlifeherald.com/news/photo/202507/2798_4817_1052.jpg)
진단과 치료, 무엇이 중요한가?
뇌종양 진단에는 MRI가 핵심적인 역할을 하며, 수술을 통해 종양 조직을 채취해 조직 검사와 유전자 검사를 병행해야 최종 진단이 가능하다.
기본적인 치료는 수술이다. 두개골을 열고 종양을 제거하는 개두술이 가장 일반적이며, 필요한 경우 내시경 수술이나 감마나이프와 같은 방사선 수술도 시행된다. 수술 이후에는 방사선 치료나 항암 화학요법을 병행해 재발을 방지한다. 최근에는 혈관-뇌 장벽을 극복한 신약 및 표적 치료제가 개발되면서 약물 치료의 효과도 점차 높아지고 있다.
희망을 가져야 할 이유
박철기 교수는 “물론 일부 악성 뇌종양은 여전히 예후가 좋지 않지만, 대부분의 뇌종양은 치료가 가능하며, 특별한 이상이 없으면 평생 문제없이 살아가는 경우도 많다”고 설명했다. 이어 “국내 의료기술은 세계적으로도 인정받고 있으며, 대규모 유전자 분석과 다학제 협진 체계의 발전으로 맞춤형 치료 전략도 더욱 정교해지고 있다”며 환자와 보호자들에게 희망을 잃지 말 것을 당부했다.
이번 정보는 ‘세계 뇌의 날’을 맞아 국민들의 뇌 건강 인식 개선을 위한 서울대병원의 노력의 일환이며, 향후 정기적인 의료정보 제공을 통해 국민 건강 증진에 기여할 방침이다.
-
이대서울병원, 기관생명윤리위원회(IRB) 인증 획득… 윤리적 연구환경 인정받아
이대서울병원이 보건복지부 산하 국가생명윤리정책원이 주관한 기관생명윤리위원회(IRB) 인증 평가에서 우수한 평가를 받아 인증을 획득했다. 이를 기념해 지난 7월 4일 현판식을 개최했으며, 이번 인증으로 향후 3년간 연구윤리 역량을 공식 인정받게 됐다. -
한양대학교병원, 차세대 심방세동 치료법 ‘펄스장절제술(PFA)’ 성공 도입
한양대학교병원이 차세대 부정맥 치료 기술인 펄스장절제술(PFA)을 국내 임상에 성공적으로 도입했다. 고강도 전기장을 활용해 심장 외 조직 손상을 최소화하면서도 치료 효율을 높인 이 기술은 시술 시간 단축과 빠른 회복을 가능케 하며, 고령 환자에게도 안전하게 적용되었다. 향후 부정맥 치료의 새로운 표준이 될 것으로 기대된다. -
국립중앙의료원, 공중보건 미래 이끌 인재 육성 본격화
국립중앙의료원이 2025년 신규 공중보건장학생 23명을 대상으로 공공보건의료 입문 교육을 실시했다. 이번 교육은 공중보건장학생으로서의 책임과 역할에 대한 인식을 높이고, 협력적 네트워크 형성을 지원하기 위해 기획되었으며, 장학증서 수여식도 함께 진행됐다. 국립중앙의료원은 향후에도 인재 육성을 위한 다양한 교육 프로그램을 이어갈 계획이다. -
서울의료원, 2025년 대량재해 대비 집체교육 실시…실전형 훈련으로 대응역량 강화
서울의료원이 대형 재난 발생에 대비한 집체교육을 6월 24일과 7월 16일 양일간 실시했다. 이번 교육은 권역응급의료센터 주관 아래 권역 내 응급의료기관 관계자 38명이 참석해 이론과 실습을 병행했으며, 실제 재난 상황을 가정한 중증도 분류와 응급처치 훈련을 통해 실전 대응력을 강화했다. 서울의료원은 향후에도 재난의료대응계획을 지속적으로 정비하고 훈련해 나갈 방침이다. -
서울대병원, 드문 용종까지 감지하는 AI 대장내시경 보조 시스템 ‘ColonOOD’ 개발
서울대병원이 기존 진단 시스템으로는 감지하기 어려웠던 소수 유형의 대장 용종까지 감별 가능한 AI 기반 대장내시경 진단 보조 시스템 ‘ColonOOD’를 개발했다. 해당 시스템은 분류 결과의 신뢰 수준을 함께 제공함으로써 의료진의 임상 판단을 더욱 정밀하게 도와줄 수 있어, 대장암 조기 진단과 사망률 감소에 기여할 것으로 기대된다. -
경기도의료원 수원병원 장례식장, 다회용기 도입…친환경 장례문화 실천 앞장
경기도의료원 수원병원 장례식장이 7월부터 다회용기 사용을 공식 도입하며 친환경 장례문화 확산에 나섰다. 이번 사업은 경기도와 수원시의 지원 아래 1회용품 사용을 줄이고, 세척·소독된 다회용기를 순환 사용하는 시스템을 통해 장례식장의 환경 부담을 줄이려는 목적이다. 병원 측은 “작은 실천이 미래 세대를 위한 책임 있는 변화로 이어지길 바란다”고 밝혔다. -
경기도의료원 수원병원, 지역 유관기관과 진료협력 네트워크 본격 구축
경기도의료원 수원병원이 지역 내 주요 의료기관들과 진료협력 네트워크를 강화하고자 동수원병원, 화홍병원, 이춘택병원을 방문해 실무 중심의 논의를 진행했다. 특히 동수원병원 및 이춘택병원과는 공식 협약을 체결해 환자 진료 연속성과 진료공백 해소를 위한 협력 체계를 공식화했다. -
경기도의료원 수원병원-장안구보건소, 재활의료 공백 해소 위해 손잡다
경기도의료원 수원병원과 장안구 보건소가 지역사회 재가 장애인을 위한 재활의료 서비스 강화를 위해 원외실무협의체를 구성했다. 양 기관은 방문재활 진료 연계와 통합 건강관리체계를 구축하며, 다학제 협업을 통해 전문적인 재활 서비스를 제공할 계획이다. -
서울의료원, 폐렴 적정성 평가 6회 연속 '최고 등급' 획득
서울특별시 서울의료원이 건강보험심사평가원에서 실시한 '폐렴 적정성 평가'에서 최고 등급인 1등급을 획득했다. 2014년 평가가 시작된 이후 무려 6회 연속으로 1등급을 유지하며 의료기관의 지속적인 진료 품질 향상 노력을 증명했다. -
경기도의료원 수원병원, 장애인 재활·돌봄 협력체계 강화 간담회 개최
경기도의료원 수원병원이 수원시정자동장애인주간보호시설과 간담회를 개최하고 장애인의 재활서비스 향상과 돌봄역량 강화를 위한 협력 방안을 논의했다. 이번 간담회는 장애인 맞춤형 프로그램과 전문적인 돌봄 교육 등을 중점적으로 다루며 공공의료기관과 지역사회 간 협력 모델로 주목받고 있다. -
대한비만학회, 소아비만 예방 위한 ‘제31회 Fun&Run 건강캠프’ 개최
대한비만학회 소아청소년위원회가 초등학생을 대상으로 ‘제31회 Fun&Run 건강캠프’를 개최한다. 참가 아동들은 메타버스 기반의 온라인 플랫폼에서 건강 생활습관을 배우고 실천하며, 스마트밴드와 팀 미션을 통해 흥미와 건강지식을 동시에 습득한다. -
서울대병원 이정민 교수, ‘북미영상의학회 평생 명예 교육자상’ 아시아 최초 수상
서울대병원 영상의학과 이정민 교수가 북미영상의학회(RSNA)로부터 아시아 최초로 '평생 명예 교육자상'을 수상했다. RSNA 교육 부문 최고 영예로, 이 교수의 지속적인 국제 교육 활동과 학술 기여가 전 세계적으로 인정받은 결과다.
